蘇州腫瘤醫院認準廣州復大醫院:有效治療雙腎腎癌
腎癌在人類腫瘤中發病率排第9位或第10位,其中正腎癌是泌尿生殖系統最常見的惡性腫瘤之一,約占成人全身惡性腫瘤的3%。近年來,全世界腎癌的發病率和病死率以每10年2%~3%的速度增加,呈現上升趨勢。在中國,腎癌的發病率在過去的20年間以平均每年6.5%的速度增長,在泌尿系統腫瘤相關死亡中位居第一位。其中,在被診斷為腎癌的患者中,有20%~30%屬于晚期。腎癌對人民群眾生命健康的危害越來越大。因此,研究探索腎癌預防、診斷以及治療的有效方法已刻不容緩(詳情百度搜索:廣州復大醫院案例)。
日常體檢竟檢出雙腎腎癌

2017年,對安圖(化名)來說,是一個悲傷的節點,勾勒著他從星辰璀璨到黯淡無光的回憶。
這位生活規律飲食健康的叔叔,退休前一直在政府部門工作,退休后開展自己的事業,從事貿易。盡管工作忙碌他依舊堅持每天按時九點睡覺早上五點起床晨練的習慣,直到2017年7月份的時候例行體檢發現雙腎“腎癌”。他不得不停止工作,開始了他漫長的抗癌之路。
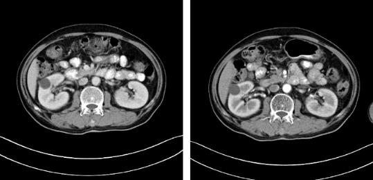
據安圖叔叔的兒子回憶道,安圖叔叔在體檢前沒有發現任何不適的癥狀,在體檢后才知雙腎占位,右腎下級占位16.1*7.2cm,左腎下級腫瘤約3.7*4.3cm的情況。突如其來的病情讓一家人陷入了恐慌,從未想過一個健康自律的人會突然間就被檢出腎癌,還是雙腎。安圖叔叔的兒子激動地說道:“我當時一下子懵了,父親之前表現那么健康,一查竟病得很重,為確診我把父親轉接到新加坡就診,那邊的醫生在看了我父親的片子后都表示這是腫瘤,要做切除雙腎然后再透析,對于我們來說,切腎這樣的治療方案對我們來說是無法接受的,父親畢竟一把年紀,這樣做法太傷他身體。”
即使疾病纏身,我們還得積極的面對生活。在確診患癌后,安圖叔叔一家人慢慢開始接受患癌的事實,不斷地鼓勵他,要保持樂觀的心態,與其害怕不如積極與它正面斗爭。為更好了解腎癌的情況,2017年8月時他兒子攜安圖叔叔前往泰國做了右腎腫瘤穿刺活檢,右腎被確診為透明細胞癌。泰國醫生也同樣建議安圖叔叔切除手術,安圖一家果斷拒絕這個治療方案。
就在此時,安圖叔叔的親戚趕來家中告知一個信息,他的丈夫通過電視臺得知中國有新的治療技術并前來做治療,目前身體恢復差不多。建議安圖叔叔去中國試試。在此之前,安圖叔叔不斷嘗試各種新藥新療法并沒有任何進展。每一次在睡夢中醒來,他都得重新承受軀體帶來的疼痛以及精神上的負擔。
“冷凍”帶來新的奇跡
在與親戚詳聊后,安圖叔叔趕緊找到兒子在Google上搜索他們找到復大的相關信息。安圖叔叔的兒子在網站上了解到冷凍消融術可經皮穿刺達到消融腫瘤效果并降低手術風險。為保留父親的雙腎,兒子嘗試通過郵件與復大的客服取得聯系,在得到回復“來復大可以有更好的治療”,抱著試一試的心態,安圖叔叔在兒子的陪同下前往中國暨南大學附屬復大腫瘤醫院。

安圖叔叔與主刀醫生合影留念
2017年9月安圖叔叔開啟新治療之路,入院檢查發現安圖叔叔右腎透明細胞癌T3NxM1IV期、左腎癌、縱隔淋巴結轉移瘤。為緩解安圖叔叔腰疼的狀況,9月21日進行介入治療。經復大專家認真探討后,考慮到安圖叔叔身體精神狀態良好,可進行冷凍消融術。經專家解說和安慰后,安圖一家懸著心終于放下了。

安圖一家與醫生合影留念
2017年9月29日,從CT影像看到右腎情況更為嚴重。為減緩腫瘤增長的速度,專家進行商議后,最終決定由牛立志教授主刀為安圖叔叔進行了右腎腫瘤冷凍消融術。手術開始后,牛立志教授在CT和超聲引導下,同時使用兩根冷凍針固定病灶,精準滅活腫瘤;術后很成功無不良反應。術后一周進行第二次雙腎腫瘤冷凍消融術。安圖叔叔兒子笑道:“當時真的很緊張,醫生勸慰我無須擔心,都交給他們,我們都很清楚知道父親的病情,真的很感謝也很慶幸我父親遇到復大的醫護人員,免受開刀之痛。住院期間醫護人員很盡心盡力的照顧父親,手術的成功離不開他們的辛勞付出。”

冷凍治療手術中
隨著時間的推移,安圖叔叔身體開始發生明顯變化,腰疼的癥狀得到緩解,血尿的次數明顯減少,睡眠質量有明顯的改善。以前上廁所都是一件很痛苦事情,如今逐漸正常。安圖叔叔的病情得到改善,在一次次的復查中得到主治醫生王峰的佐證。過去的兩年里,安圖叔叔一直遵循醫生的囑咐,按時服藥定時回院復查,到目前為止是安圖叔叔第9次來院復查。安圖叔叔的兒子說道:“我每次帶父親來檢查都有新發現,腫瘤在一天天的變小,我們很相信醫生的話,他們會給我們最好的治療方案,如今已過去兩年,父親身體和精神慢慢轉好,這是我們所希望的。”

自2017年做冷凍消融術后,安圖叔叔兩年多時間腫瘤不僅沒有增長并多次檢查沒有復發跡象。安圖叔叔認為,冷凍給他帶來新的希望,又一次看到復大創造新的奇跡。
自2013年起,我院已開展冷凍消融術超萬例并積累豐富的臨床經驗。
氬氦刀冷凍療法優點:
① 既能治療小的腫瘤,也能治療大的腫瘤;既能消融單個腫瘤,也能消融多個腫瘤;
② 冷凍一般不會破壞大的血管和大的支氣管、氣管;
③ 冷凍治療時不會引起疼痛,相反地,冷凍可止痛;
④ 冷凍消融過程可被超聲和CT清楚地監控;
⑤ 被消融的腫瘤細胞會釋放抗原,激發人體免疫功能,從而清除未被消融的腫瘤細胞,有助于預防癌癥復發。
廣州復大醫院咨詢電話:020-38476021
廣州復大腫瘤醫院公眾號:

